DÁN SỨ VENEER - GIẢI PHÁP THẨM MỸ RĂNG THỜI ĐẠI MỚI
Một nụ cười rạng rỡ, trắng sáng và đều đẹp luôn là “vũ khí” giúp bạn tự tin hơn trong giao tiếp và cuộc sống. Trong những năm gần đây, dán sứ Veneer đã trở thành xu hướng thẩm mỹ nha khoa được ưa chuộng nhờ khả năng cải thiện nụ cười nhanh chóng, tự nhiên và an toàn. Tuy nhiên, để có kết quả hoàn hảo và duy trì lâu dài, bạn cần hiểu rõ về phương pháp này cũng như lựa chọn đúng địa chỉ thực hiện uy tín.
Cùng tìm hiểu chi tiết về dán sứ Veneer – từ khái niệm, ưu điểm, quy trình thực hiện cho đến cách chăm sóc sau khi dán – để có cái nhìn toàn diện trước khi đưa ra quyết định.
Dán sứ veneer là gì?
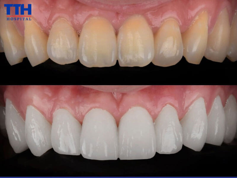
Dán sứ Veneer (hay còn gọi là mặt dán sứ) là một phương pháp thẩm mỹ nha khoa hiện đại, giúp cải thiện hình dáng, màu sắc và vị trí của răng một cách tinh tế và tự nhiên.
Bác sĩ sẽ gắn một lớp sứ mỏng, chỉ dày khoảng 0.2 – 0.5 mm, lên bề mặt ngoài của răng. Lớp sứ này có màu sắc, độ trong và độ phản sáng gần như răng thật, mang lại nụ cười trắng sáng hài hòa mà không bị “giả”.
Điểm đặc biệt của dán sứ Veneer là hầu như không cần mài răng hoặc chỉ mài rất ít, giúp bảo tồn tối đa răng thật, giảm thiểu cảm giác ê buốt và giữ được cấu trúc tự nhiên của men răng.
.jpg)
Ưu điểm của dán sứ veneer
Không chỉ là giải pháp giúp bạn “thay áo mới” cho nụ cười, dán sứ Veneer còn mang lại nhiều lợi ích vượt trội về cả thẩm mỹ lẫn sức khỏe răng miệng:
- Bảo tồn răng thật tối đa
So với bọc răng sứ, dán sứ Veneer không yêu cầu mài răng nhiều. Trong một số trường hợp, bác sĩ thậm chí không cần mài mà chỉ xử lý bề mặt men nhẹ nhàng, từ đó giảm nguy cơ ê buốt hoặc tổn thương tủy răng.
- Thẩm mỹ cao, tự nhiên như răng thật
Lớp sứ mỏng ôm sát bề mặt răng, phản quang giống men tự nhiên, giúp nụ cười trắng sáng, đều đẹp mà vẫn mềm mại, tự nhiên – không bị “cứng” hay lộ dấu vết thẩm mỹ.
- Độ bền cao
Khi được thực hiện đúng kỹ thuật và chăm sóc đúng cách, Veneer có thể duy trì từ 10 – 15 năm, thậm chí hơn. Chất liệu sứ cao cấp có khả năng chống ố vàng, không bị đổi màu theo thời gian.
- Ít gây ê buốt
Do răng được bảo tồn tối đa nên cảm giác ê buốt gần như không đáng kể – đặc biệt phù hợp với người có răng nhạy cảm.
- Thời gian thực hiện nhanh chóng
Chỉ sau 2 – 3 buổi hẹn, bạn đã có thể sở hữu nụ cười mới, nhanh gọn hơn nhiều so với các phương pháp chỉnh nha truyền thống.
.jpg)
Quy trình dán sứ veneer
Tại các cơ sở nha khoa uy tín, quy trình dán sứ Veneer được thực hiện bài bản và tỉ mỉ nhằm đảm bảo hiệu quả thẩm mỹ cũng như độ bền lâu dài.
- Bước 1: Thăm khám và tư vấn
Bác sĩ tiến hành kiểm tra tổng quát tình trạng răng miệng, chụp X-quang (nếu cần) để đánh giá men răng, khớp cắn và sức khỏe răng – nướu.
Dựa vào kết quả thăm khám, bác sĩ sẽ xác định bạn có phù hợp để dán sứ Veneer hay không, đồng thời tư vấn phương án điều trị và kiểu dáng răng phù hợp nhất.
- Bước 2: Thiết kế nụ cười cá nhân hóa
Từ cấu trúc khuôn mặt, tông da, màu môi và mong muốn của bạn, bác sĩ sẽ thiết kế dáng răng, màu răng và tỉ lệ nụ cười sao cho hài hòa, tự nhiên nhất. Đây là bước quan trọng giúp bạn hình dung trước kết quả sau khi hoàn thiện.
- Bước 3: Xử lý bề mặt răng
Tùy từng trường hợp, bác sĩ có thể mài rất nhẹ một lớp men răng mỏng để tạo độ bám cho mặt dán. Quá trình này diễn ra nhanh chóng, nhẹ nhàng và không gây đau.
- Bước 4: Lấy dấu răng và chế tác mặt dán
Bác sĩ lấy dấu răng và gửi về labo để chế tác mặt sứ. Trong thời gian chờ, bạn sẽ được gắn răng tạm để đảm bảo thẩm mỹ.
- Bước 5: Dán sứ Veneer
Khi mặt sứ hoàn thiện, bác sĩ sẽ kiểm tra độ khít, màu sắc, hình dáng, sau đó gắn cố định bằng keo chuyên dụng nha khoa. Mặt dán được cố định chắc chắn, bền vững và có độ phản sáng tự nhiên như răng thật.
.jpg)
Đối tượng phù hợp nên dán răng sứ Veneer?
Dán sứ Veneer là xu hướng thẩm mỹ nha khoa hiện đại hướng đến nguyên tắc giảm thiểu xâm lấn – bảo tồn tối đa răng thật – cá nhân hóa nụ cười cho từng khách hàng.
Nhờ đặc tính nhẹ nhàng, an toàn và tự nhiên, phương pháp này phù hợp với hầu hết mọi đối tượng, đặc biệt là:
- Khách hàng trung niên có răng bị mòn mặt nhai, xỉn màu, ê buốt nhẹ do tuổi tác hoặc tác động bên ngoài.
- Người có răng ố vàng, sẫm màu, nhiễm kháng sinh hoặc không thể tẩy trắng bằng phương pháp thông thường.
- Trường hợp răng thưa, răng hơi lệch, kích thước không đều nhưng chưa cần can thiệp chỉnh nha.
- Người đã từng làm răng thẩm mỹ nhưng màu sắc, hình dáng chưa ưng ý, hoặc răng sứ cũ và răng thật không đồng nhất về màu
Hướng dẫn chăm sóc răng sau khi dán sứ
Việc chăm sóc đúng cách sau khi dán sứ là yếu tố then chốt giúp duy trì vẻ đẹp và độ bền lâu dài cho răng. Dưới đây là một số lưu ý quan trọng:
1. Giữ gìn vệ sinh răng miệng
- Đánh răng tối thiểu 2 lần/ngày với bàn chải lông mềm.
- Sử dụng chỉ nha khoa để làm sạch kẽ răng, tránh tích tụ mảng bám.
- Súc miệng bằng nước muối sinh lý hoặc dung dịch nha khoa kháng khuẩn.

2. Chế độ ăn uống hợp lý
- Tránh cắn, nhai các vật cứng như đá, xương, nắp chai…
- Hạn chế thực phẩm quá nóng hoặc quá lạnh để tránh làm sứ co giãn đột ngột.
- Tránh đồ uống đậm màu (cà phê, trà, rượu vang…) vì có thể ảnh hưởng đến màu men.
3. Tái khám định kỳ
Nên đi kiểm tra răng miệng định kỳ mỗi 6 tháng/lần để bác sĩ kiểm tra tình trạng răng và mặt dán sứ, xử lý kịp thời nếu có vấn đề.
4. Không nghiến răng
Nếu bạn có thói quen nghiến răng khi ngủ, nên trao đổi với bác sĩ để sử dụng máng chống nghiến nhằm bảo vệ răng sứ khỏi nứt vỡ.
Dán sứ Veneer là giải pháp thẩm mỹ hiện đại, giúp bạn sở hữu nụ cười rạng rỡ mà vẫn đảm bảo an toàn, bền đẹp và ít xâm lấn. Tuy nhiên, việc lựa chọn nha khoa uy tín và chăm sóc đúng cách sau khi dán sứ là yếu tố quan trọng để duy trì hiệu quả lâu dài.
Nếu bạn đang mong muốn cải thiện nụ cười của mình một cách tự nhiên, nhẹ nhàng mà vẫn tinh tế, dán sứ Veneer chính là một lựa chọn đáng cân nhắc!
Địa chỉ dán răng sứ Veneer uy tín tại Nghệ An
Bệnh viện Thái Thượng Hoàng – một trong những cơ sở y tế uy tín trong lĩnh vực Răng Hàm Mặt tại Nghệ An, được đông đảo khách hàng tin tưởng lựa chọn.
- Trang thiết bị hiện đại, công nghệ tiên tiến trong nha khoa thẩm mỹ.
- Đội ngũ bác sĩ, kỹ thuật viên giàu kinh nghiệm, tận tâm lắng nghe và thấu hiểu nhu cầu của khách hàng.
- Quy trình bọc răng sứ được thực hiện chuẩn y khoa, chính xác và an toàn.
- Môi trường điều trị vô trùng, đảm bảo an toàn vệ sinh.
Đến với Bệnh viện Thái Thượng Hoàng, khách hàng sẽ được trải nghiệm dịch vụ nha khoa chất lượng cao, mang lại nụ cười khỏe đẹp và tự tin.

----------------------------------------
Bệnh viện Răng hàm mặt và Phẫu thuật tạo hình thẩm mỹ Thái Thượng Hoàng:
Địa chỉ: Số 28 Nguyễn Sĩ Sách, Phường Thành Vinh, Nghệ An
Hotline: 094.996.7337.
Facebook: Bệnh viện Thái Thượng Hoàng