Tìm hiểu quy trình niềng răng để khắc phục tình trạng khớp cắn ngược
Niềng răng không chỉ giúp cải thiện thẩm mỹ nụ cười mà còn đóng vai trò quan trọng trong việc điều chỉnh khớp cắn sai lệch. Một trong những tình trạng sai khớp cắn phổ biến là khớp cắn ngược – nếu không điều trị sớm sẽ ảnh hưởng lâu dài đến chức năng ăn nhai, phát âm và khuôn mặt. Vậy khớp cắn ngược là gì, có dấu hiệu nhận biết như thế nào và quy trình niềng răng để khắc phục ra sao? Hãy cùng tìm hiểu chi tiết qua bài viết dưới đây.
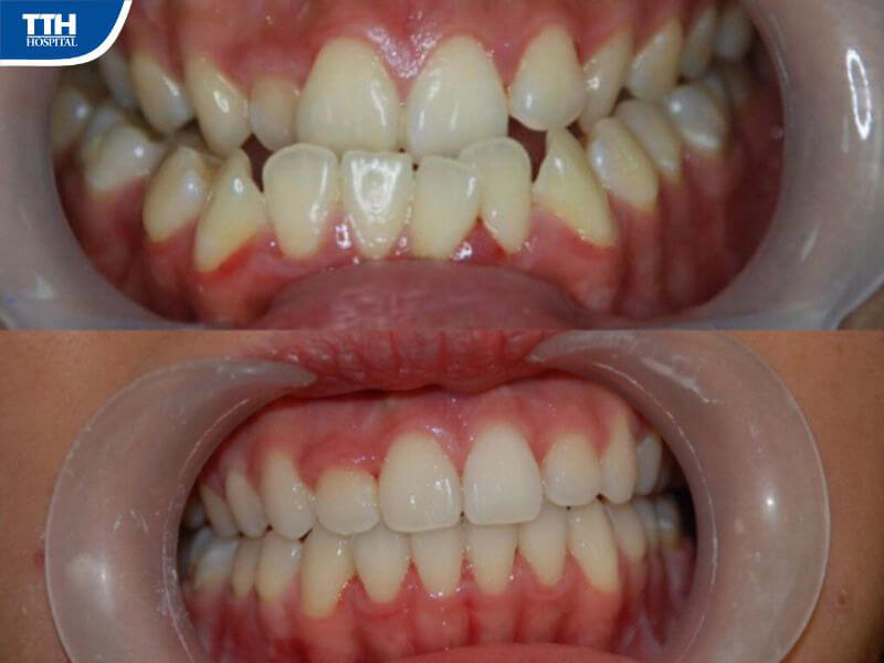
Khớp cắn ngược là gì?
Khớp cắn ngược (còn gọi là móm, cắn chéo răng trước) là tình trạng khi hàm dưới đưa ra trước so với hàm trên, khiến răng hàm dưới che khuất răng hàm trên khi cắn lại. Đây là dạng sai khớp cắn thuộc nhóm nghiêm trọng và cần can thiệp chỉnh nha sớm.
Nguyên nhân gây khớp cắn ngược có thể đến từ:
• Di truyền: Nhiều trường hợp bị móm do đặc điểm xương hàm dưới phát triển quá mức từ gia đình.
• Thói quen xấu khi nhỏ: Ngậm ti giả, mút tay, thở bằng miệng trong thời gian dài.
• Phát triển xương không cân đối: Hàm trên kém phát triển trong khi hàm dưới lại phát triển mạnh.
• Mất răng sữa sớm hoặc sai lệch vị trí răng vĩnh viễn.
Khớp cắn ngược không chỉ là vấn đề thẩm mỹ mà còn ảnh hưởng trực tiếp đến sức khỏe răng miệng và chức năng nhai.

Dấu hiệu nhận biết khớp cắn ngược
Người bị khớp cắn ngược có thể dễ dàng nhận thấy qua những đặc điểm sau:
• Hàm dưới nhô ra trước rõ rệt, khuôn mặt nhìn nghiêng thường có dáng “móm”.
• Khi cắn lại, răng cửa hàm dưới phủ ra ngoài răng cửa hàm trên.
• Khó cắn, khó nhai thức ăn, đặc biệt với những loại thực phẩm cứng.
• Phát âm bị ảnh hưởng, một số âm phát ra không chuẩn.
• Răng dễ bị mòn hoặc lệch do khớp cắn không đúng vị trí.
Ở trẻ nhỏ, cha mẹ có thể nhận thấy dấu hiệu khớp cắn ngược từ rất sớm, thường ngay khi trẻ mọc răng sữa. Việc phát hiện kịp thời giúp can thiệp điều trị dễ dàng hơn.
Khớp cắn ngược gây hậu quả gì?
Nếu không điều trị, khớp cắn ngược có thể để lại nhiều hậu quả cả về thẩm mỹ và sức khỏe:
- Ảnh hưởng đến thẩm mỹ gương mặt: Người bị móm thường có gương mặt kém hài hòa, mất tự tin khi giao tiếp.
- Khó khăn trong ăn nhai: Khớp cắn lệch khiến lực nhai không đồng đều, lâu dài có thể gây rối loạn khớp thái dương – hàm.
- Phát âm không chuẩn: Một số âm như “s”, “th” khó phát âm chính xác.
- Tăng nguy cơ bệnh lý răng miệng: Thức ăn dễ mắc kẹt, khó vệ sinh dẫn đến sâu răng, viêm nướu.
- Ảnh hưởng tâm lý: Người bị khớp cắn ngược thường tự ti về nụ cười, hạn chế giao tiếp.
Chính vì vậy, việc chỉnh nha – niềng răng khắc phục khớp cắn ngược không chỉ giúp cải thiện ngoại hình mà còn nâng cao chất lượng cuộc sống.

Các phương pháp niềng răng khắc phục khớp cắn ngược
Hiện nay, có nhiều phương pháp niềng răng được áp dụng để điều trị khớp cắn ngược, tùy thuộc vào mức độ nặng nhẹ và độ tuổi của bệnh nhân:
Niềng răng mắc cài kim loại
• Phổ biến, chi phí hợp lý.
• Hiệu quả cao trong việc kéo chỉnh răng và xương hàm.
• Thường được chỉ định cho cả trẻ em và người lớn.
Niềng răng mắc cài sứ
• Tương tự mắc cài kim loại nhưng thẩm mỹ hơn nhờ chất liệu sứ tiệp màu răng.
• Phù hợp cho người đi làm, học sinh – sinh viên muốn hạn chế lộ mắc cài.
Niềng răng trong suốt (Invisalign)
• Khay niềng trong suốt, tháo lắp dễ dàng, tính thẩm mỹ cao.
• Thích hợp với trường hợp khớp cắn ngược ở mức độ nhẹ đến trung bình.
• Chi phí cao hơn so với niềng mắc cài truyền thống.
Kết hợp phẫu thuật chỉnh hàm
• Với trường hợp khớp cắn ngược do xương hàm dưới phát triển quá mức, chỉ niềng răng thôi chưa đủ.
• Cần kết hợp phẫu thuật chỉnh hình xương hàm để đưa khớp cắn về đúng vị trí.
Mỗi phương pháp đều có ưu nhược điểm riêng, bác sĩ chỉnh nha sẽ dựa vào tình trạng cụ thể của từng bệnh nhân để đưa ra giải pháp tối ưu.
Quy trình niềng răng khớp cắn ngược
Niềng răng để điều trị khớp cắn ngược là một hành trình kéo dài từ 18–36 tháng, gồm nhiều giai đoạn. Dưới đây là các bước cơ bản:
Bước 1: Thăm khám và chẩn đoán
• Bác sĩ kiểm tra tổng quát tình trạng răng miệng.
• Chụp X-quang, lấy dấu răng, phân tích khớp cắn để xác định mức độ móm.
• Đưa ra phác đồ điều trị phù hợp: niềng răng, niềng kết hợp phẫu thuật…
Bước 2: Vệ sinh và điều trị răng miệng tổng quát
• Trước khi niềng răng, bác sĩ sẽ lấy cao răng, trám răng sâu, điều trị viêm nướu nếu có.
• Đảm bảo môi trường miệng khỏe mạnh để tiến hành niềng.
Bước 3: Gắn khí cụ chỉnh nha
• Tùy phương pháp niềng, bác sĩ sẽ gắn mắc cài hoặc hướng dẫn sử dụng khay niềng trong suốt.
• Lực kéo được điều chỉnh dần dần để đưa răng về vị trí chuẩn.
Bước 4: Theo dõi và điều chỉnh định kỳ
• Trung bình 4–6 tuần, bệnh nhân cần đến tái khám 1 lần.
• Bác sĩ sẽ kiểm tra tiến độ, điều chỉnh lực kéo và xử lý các vấn đề phát sinh.
Bước 5: Tháo niềng và duy trì kết quả
• Sau khi răng và khớp cắn đã ổn định, bác sĩ sẽ tháo niềng.
• Bệnh nhân cần đeo hàm duy trì để ngăn răng dịch chuyển trở lại vị trí cũ.
Thời gian và hiệu quả
• Thời gian niềng răng khớp cắn ngược phụ thuộc vào độ tuổi, mức độ sai lệch và phương pháp chỉnh nha.
• Trẻ nhỏ thường có kết quả nhanh và dễ dàng hơn so với người trưởng thành.

Niềng răng tại Bệnh viện Thái Thượng Hoàng
Bệnh viện Thái Thượng Hoàng là đơn vị đã có hơn 20 năm hoạt động trong lĩnh vực răng hàm mặt, là trung tâm răng hàm mặt lớn hàng đầu khu vực miền Trung, được đông đảo khách hàng tin cậy và lựa chọn khi có nhu cầu thực hiện các phương pháp điều trị răng hàm mặt.
Với đội ngũ bác sĩ và nhân viên y tế vững chuyên môn, giàu kinh nghiệm bệnh viện cung cấp cho khách hàng các dịch vụ trồng răng chất lượng, an toàn và hiệu quả.
Khách hàng khi đến với bệnh viện sẽ được trực tiếp các bác sĩ thăm khám, kiểm tra tình trạng và tư vấn cụ thể đối với từng trường hợp.
Đặc biệt, với hệ thống cơ sở vật chất hiện đại và công nghệ điều trị răng hàm mặt tiên tiến, khách hàng hoàn toàn yên tâm trao gửi niềm tin cho đội ngũ bác sĩ và nhận về kết quả như mong muốn
---------------------------------------
Bệnh viện Răng hàm mặt và Phẫu thuật tạo hình thẩm mỹ Thái Thượng Hoàng:
Địa chỉ: Số 28 Nguyễn Sĩ Sách, Phường Thành Vinh, Nghệ An
Hotline: 094.996.7337.
Facebook: Bệnh viện Thái Thượng Hoàng