7 TÌNH TRẠNG RĂNG CÓ THỂ KHẮC PHỤC HIỆU QUẢ NHỜ NIỀNG INVISALIGN TẠI BỆNH VIỆN THÁI THƯỢNG HOÀNG
Invisalign là phương pháp niềng răng trong suốt hiện đại, mang lại hiệu quả cao mà vẫn đảm bảo tính thẩm mỹ trong quá trình điều trị. Tuy nhiên, không phải ai cũng biết tình trạng răng của mình có phù hợp với Invisalign hay không. Dưới đây là 7 vấn đề răng miệng thường gặp mà Invisalign có thể cải thiện rõ rệt – giúp bạn dễ dàng xác định giải pháp chỉnh nha phù hợp.
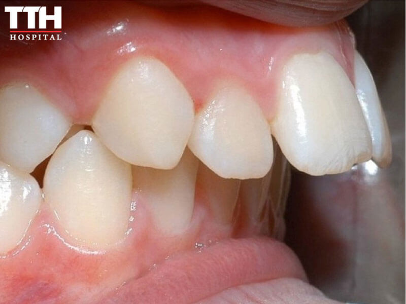
1. RĂNG KHẤP KHỂNH (CROOKED TEETH)
Răng khấp khểnh là tình trạng răng mọc lộn xộn, sai lệch về vị trí, phương và chiều so với răng bình thường. Tình trạng răng khấp khểnh này sẽ làm ảnh hưởng nhiều đến sinh hoạt hằng ngày, đặc biệt là khả năng ăn nhai và vệ sinh răng miệng.
Phương pháp niềng răng Invisalign sẽ giúp cho hàm răng của bạn trở nên thẳng hàng hơn bằng cách dịch chuyển các răng và cải thiện nụ cười.

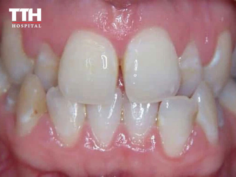
2. RĂNG HÔ (OVERBITE)
Đây là tình trạng răng hàm trên nằm quá xa về phía trước so với răng hàm dưới. Tình trạng răng này khiến cho môi trên cũng bị chìa ra, không những ảnh hưởng đến ăn nhai mà còn khiến bạn cảm thấy tự ti khi cười cũng như giao tiếp với những người xung quanh.
Invisalign có thể khắc phục được tình trạng răng hô và bạn nên bắt đầu điều trị chỉnh nha với Invisalign sớm để hạn chế các vấn đề về nướu cũng như mòn răng do tình trạng hô gây ra.

3. RĂNG MÓM (UNDERBITE)
Móm là tình trạng răng hàm dưới đưa ra xa về phía trước so với răng hàm trên hoặc răng hàm trên đưa sâu vào bên trong so với răng hàm dưới. Tình trạng này cũng hay được gọi là cắn ngược và gây ra cảm giác khó chịu, thậm chí có thể gây đau khớp và hàm.
Tình trạng răng móm cũng có thể khiến cho răng của bạn bị mòn và gây cản trở nhiều đến khả năng ăn nhai và phát âm. Invisalign có thể giúp bạn khắc phục tình trạng này, lấy lại nụ cười tự tin và tận hưởng sự thoải mái trong việc ăn uống.

4. RĂNG CẮN HỞ (OPEN BITE)
Đây là tình trạng phần răng cửa trên và phần răng cửa dưới không chạm nhau khi cắn hai hàm lại mà có một khoảng cách giữa 2 hàm. Răng cắn hở gây rất nhiều khó khăn trong việc ăn uống và gây mất thẩm mỹ do người đối diện có thể nhìn thấy được lưỡi ngay cả khi đang cắn hai hàm. Tình trạng này gây ra do các thói quen xấu hàng ngày như mút tay, cắn bút, đẩy lưỡi.
Niềng răng Invisalign có thể khắc phục được tình trạng răng cắn hở bằng việc dịch chuyển các răng trên và dưới về vị trí để cố định khớp cắn hở.

5. RĂNG CẮN CHÉO (CROSS BITE)
Đây là tình trạng răng trên và răng dưới không thẳng hàng nhau. Khi bạn cắn hai hàm lại thì một số răng trên sẽ nằm ngay bên trong răng dưới chứ không phải nằm bên ngoài như bình thường. Răng cắn chéo có thể xảy ra do chấn thương, mất răng sữa sớm.
Invisalign cũng có thể khắc phục tình trạng răng cắn chéo này và bạn nên thực hiện sớm để hạn chế những sự thay đổi tiêu cực trong việc phát triển của xương hàm.

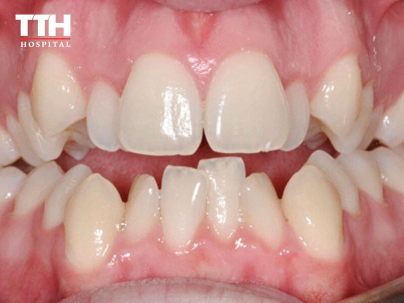
6. RĂNG THƯA (GAPPY TEETH)
Răng thưa là việc xuất hiện các khoảng trống giữa hai hoặc nhiều răng. Răng thưa ảnh hưởng nhiều đến nụ cười cũng như sức khỏe răng miệng do các mảnh thức ăn có thể bị mắc kẹt trong các kẽ hở, gây mùi hôi và các bệnh về răng, nướu.
Niềng răng Invisalign là lựa chọn hoàn hảo cho việc khắc phục răng thưa. Bằng việc thu hẹp các khoảng trống và sắp xếp lại vị trí các răng, Invisalign sẽ mang lại sự hoàn mỹ cho nụ cười của bạn.

7. RĂNG CHEN CHÚC (CROWDED TEETH)
Đây cũng là một trong các vấn đề về răng thường gặp. Răng chen chúc là khi các răng chồng lên nhau hoặc bị xô ra sau hoặc ra trước các răng lân cận. Tình trạng này xảy ra do cung hàm không có đủ chỗ cho các răng, vì vậy chúng trở nên chụm lại với nhau thay vì mọc thẳng đều dọc theo cung hàm.
Răng chen chúc thường khó khăn trong việc vệ sinh răng miệng như chải răng hay sử dụng chỉ nha khoa, vì vậy mà dễ xuất hiện mảng bám và tạo ra môi trường cho vi khuẩn phát triển, gây sâu răng cũng như các bệnh về nướu. Invisalign có thể khắc phục tình trạng răng chen chúc, giúp hàm răng của bạn thẳng đều.

KẾT LUẬN
Niềng răng Invisalign không chỉ cải thiện thẩm mỹ nụ cười mà còn giúp khắc phục nhiều vấn đề răng miệng, bảo vệ sức khỏe lâu dài. Nếu bạn gặp một trong các tình trạng trên, Invisalign có thể là giải pháp phù hợp và an toàn.
TUẦN VÀNG INVISALIGN - ƯU ĐÃI LÊN TỚI 20% TẠI BỆNH VIỆN THÁI THƯỢNG HOÀNG
Nhằm tri ân khách hàng và lan tỏa giá trị nụ cười đẹp – chuẩn quốc tế, Bệnh viện Thẩm mỹ Thái Thượng Hoàng dành tặng chương trình ưu đãi đặc biệt:
- Ưu đãi lên đến 20% chi phí chỉnh nha Invisalign: giảm trực tiếp theo từng gói điều trị, giúp khách hàng dễ dàng tiếp cận công nghệ cao.
- Miễn phí tư vấn: Khách hàng được trải nghiệm quy trình kiểm tra và mô phỏng nụ cười bằng thiết bị hiện đại, xem trước kết quả điều trị
- Nhiều phần quà tri ân tùy từng hạng mục đăng ký
Đây là cơ thuận lợi giúp khách hàng tiếp cận phương pháp chỉnh nha cao cấp với mức chi phí ưu đãi nhất trong năm.

Vì sao nên chọn Invisalign tại Bệnh viện Thái Thượng Hoàng?
Bệnh viện Thái Thượng Hoàng là đơn vị tiên phong ứng dụng Invisalign trong điều trị chỉnh nha tại khu vực miền Trung, mang đến sự an tâm tuyệt đối về trình độ chuyên môn – công nghệ – dịch vụ.
- Đội ngũ bác sĩ chỉnh nha tại bệnh viện được đào tạo chuyên sâu, sở hữu kinh nghiệm thực tiễn với hàng ngàn ca điều trị Invisalign từ đơn giản đến phức tạp
- Trang thiết bị hiện đại, đạt chuẩn
- Quy trình chăm sóc, theo dõi nghiêm ngặt: Khách hàng được theo dõi sát sao trong suốt quá trình điều trị, đảm bảo giai đoạn di chuyển răng diễn ra đúng kế hoạch
- Lộ trình minh bạch, hiệu quả tối ưu: Tất cả kế hoạch điều trị được thống nhất rõ ràng, minh bạch về thời gian, kết quả và chi phí trước khi bắt đầu
- Không gian điều trị hiện đại, riêng tư, đội ngũ nhân viên tận tâm đồng hành cùng khách hàng trong toàn bộ quá trình
Chương trình áp dụng từ ngày 25/11 đến ngày 31/12/2025. Số lượng ưu đãi có hạn dành cho khách hàng đăng ký sớm. Mời khách hàng liên hệ để được tư vấn chi tiết!
----------------------------------------
Bệnh viện Răng hàm mặt và Phẫu thuật tạo hình thẩm mỹ Thái Thượng Hoàng:
Địa chỉ: Số 28 Nguyễn Sĩ Sách, Phường Thành Vinh, Nghệ An
Hotline: 094.996.7337.
Facebook: Bệnh viện Thái Thượng Hoàng
Google Maps: https://maps.app.goo.gl/BS53AP3F8movQFoK7?g_st=iz